Figure 2

Bacteremia with the Triad Osteomyelitis, Deep Vein Thrombosis, and Pulmonary Septic Emboli in Pediatric Age: A Case Report

Marisol Holanda Pena*, Maria Hermoso Diez, Elsa Ots Ruiz, Ana de Berrazueta Sanchez de Vega and Jose Manuel Lanza Gomez

Published: 25 October, 2025 | Volume 9 - Issue 1 | Pages: 004-008

aceo-aid1022-g002

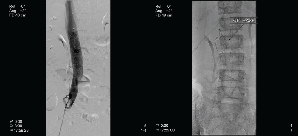
Figure 2:

Image showing placement and location of the vena cava filter in an infrarenal location.

Read Full Article HTML DOI: 10.29328/journal.aceo.1001022 Cite this Article Read Full Article PDF

More Images

Similar Articles

Recently Viewed

Read More

Most Viewed

Read More

Help ?