Figure 1

Bacteremia with the Triad Osteomyelitis, Deep Vein Thrombosis, and Pulmonary Septic Emboli in Pediatric Age: A Case Report

Marisol Holanda Pena*, Maria Hermoso Diez, Elsa Ots Ruiz, Ana de Berrazueta Sanchez de Vega and Jose Manuel Lanza Gomez

Published: 25 October, 2025 | Volume 9 - Issue 1 | Pages: 004-008

aceo-aid1022-g001

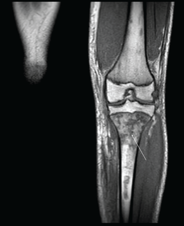
Figure 1:

MRI of the knee joint. In the proximal metaphysis and diaphysis of the left tibia, there is a marked alteration in signal intensity, which appears hyperintense at T2 and hypointense at T1, with multiple well-defined focal lesions of serpiginous and irregular morphology suggestive of multiple bone infarctions in the context of osteomyelitis.

Read Full Article HTML DOI: 10.29328/journal.aceo.1001022 Cite this Article Read Full Article PDF

More Images

Similar Articles

Recently Viewed

Read More

Most Viewed

Read More

Help ?