Bacteremia with the Triad Osteomyelitis, Deep Vein Thrombosis, and Pulmonary Septic Emboli in Pediatric Age: A Case Report
Main Article Content
Abstract
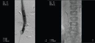
Acute osteomyelitis (AOM) is defined as an inflammation of the bone secondary to infection. Among the most common complications of AOM is the development of a periosteal abscess and the extension of the focus locally to muscle (pyomyositis) and/or joint (osteoarthritis). However, complications with much lower incidence have been described, including deep vein thrombosis (DVT) and septic pulmonary embolisms (SPE), mainly associated with S. aureus infections. The AOM + DVT + ESP triad is a fairly uncommon entity in the pediatric population; however, if it is not diagnosed and treated in time, it implies a high morbidity and mortality. Treatment, which must be early and aggressive, includes targeted antibiotic therapy, anticoagulation, and focused control surgery. In this article, we describe the case of a 14-year-old boy with disseminated staphylococcal infection associated with the triad AOM+ DVT + SPE.
Article Details
Copyright (c) 2025 Pena MH, et al.

This work is licensed under a Creative Commons Attribution 4.0 International License.
Woods CR, Bradley JS, Chatterjee A, Copley LA, Robinson J, Kronman MP, et al. Clinical practice guideline by the Pediatric Infectious Diseases Society and the Infectious Diseases Society of America: 2021 guideline on diagnosis and management of acute hematogenous osteomyelitis in pediatrics. J Pediatric Infect Dis Soc. 2021;10:801. Available from: https://doi.org/10.1093/jpids/piab027
Campbell AJ, Al Yazidi LS, Phuong LK, Leung C, Best EJ, Webb RH, et al. Pediatric Staphylococcus aureus bacteremia: clinical spectrum and predictors of poor outcome. Clin Infect Dis. 2022;74:604. Available from: https://doi.org/10.1093/cid/ciab510
Yi J, Wood JB, Creech CB, Williams D, Jimenez-Truque N, et al. Clinical epidemiology and outcomes of pediatric musculoskeletal infection. J Pediatr. 2021;234:236. Available from: https://doi.org/10.1016/j.jpeds.2021.03.028
Gorenstein A, Gross E, Houri S, Gewirts G, Katz S. The pivotal role of deep vein thrombophlebitis in the development of acute disseminated staphylococcal disease in children. Pediatrics. 2000;106:e87. Available from: https://doi.org/10.1542/peds.106.6.e87
Stevens DL, Bisno AL, Chambers HF, Dellinger EP, Goldstein EJC, Gorbach S, et al. Practice guidelines for the diagnosis and management of skin and soft tissue infections: 2014 update by the Infectious Diseases Society of America. Clin Infect Dis. 2014;59(2):e10–e52. Available from: https://doi.org/10.1093/cid/ciu444
Monagle P, Cuello CA, Augustine C, Bonduel M, Brandão LR, Capman T, et al. American Society of Hematology 2018 guidelines for management of venous thromboembolism: treatment of pediatric venous thromboembolism. Blood Adv. 2018;2:3292. Available from: https://doi.org/10.1182/bloodadvances.2018024786
American Academy of Pediatrics. Tables of antibacterial drug dosages. In: Kimberlin DW, Barnett ED, Lynfield R, Sawyer MH, editors. Red Book: 2021–2024 report of the Committee on Infectious Diseases. 32nd ed. American Academy of Pediatrics; 2021. p.876. Available from: https://search.lib.uts.edu.au/discovery/fulldisplay?docid=alma991007019786305671
Van Vugt TA, Geurts J, Arts JJ. Clinical application of antimicrobial bone graft substitute in osteomyelitis treatment: a systematic review of different bone graft substitutes available in clinical treatment of osteomyelitis. Biomed Res Int. 2016;2016:6984656. Available from: https://doi.org/10.1155/2016/6984656
Blumer JL, Ghonghadze T, Cannavino C, O'Neal T, Jandourek A, Friedland HD. A multicenter, randomized, observer-blinded, active-controlled study evaluating the safety and effectiveness of ceftaroline compared with ceftriaxone plus vancomycin in pediatric patients with complicated community-acquired bacterial pneumonia. Pediatr Infect Dis J. 2016;35(7):760–6. Available from: https://doi.org/10.1097/inf.0000000000001160
Ritz N, Curtis N. The role of Panton-Valentine leukocidin in Staphylococcus aureus musculoskeletal infections in children. Pediatr Infect Dis J. 2012;31:514. Available from: https://doi.org/10.1097/inf.0b013e31824f18cb
Schüffelmann Gutiérrez C. Coagulopathy in the critically ill pediatric patient. An Pediatr Contin. 2013;11(5):267–75. Available from: https://www.studocu.com/es-mx/document/universidad-nacional-autonoma-de-mexico/enfermeria-materno-neonatal/s1696281813701471-neo/89127731
Cilla Lazarriaga, Gomez Sáez F, Merino Arribas JM. Deep vein thrombosis in a case of acute staphylococcal osteomyelitis. An Pediatr. 2014;80(1):E16–7.
Vargas-Gutierrez M. Deep septic vein thrombosis secondary to acute osteomyelitis, septic arthritis, and pyomyositis due to Staphylococcus aureus in 3 children from Costa Rica. An Pediatr (Barc). 2014. Available from: https://doi.org/10.1016/j.anpedi.2014.03.017
Fernández-López A, Minguell-Domingo L, Pociello Almiñana N, Vallmanya T, García González M, Huguet Freixa A. Acute osteomyelitis per methicillin-producing methicillin-resistant Staphylococcus aureus associated with venous thrombosis and pulmonary septic limbs. Catalan Padiatria. 2016;76. Available from: https://dialnet.unirioja.es/servlet/articulo?codigo=5800717
Lassandro G, Palmieri VV, Palladino V, Amoruso A, Faienza MF, Giordano P. Venous thromboembolism in children: from diagnosis to management. Int J Environ Res Public Health. 2020;17:4993. Available from: https://doi.org/10.3390/ijerph17144993
Greenfield LJ, Proctor MC. Vena caval filter use in patients with sepsis: results in 175 patients. Arch Surg. 2003;138(11):1245–8. Available from: https://doi.org/10.1001/archsurg.138.11.1245
Johnson LB, Ramani A, Guervil DJ. Use of ceftaroline fosamil in osteomyelitis: CAPTURE study experience. BMC Infect Dis. 2019;19:183. Available from: https://doi.org/10.1186/s12879-019-3791-z
Gornitzky AL, Kim AE, O’Donnell JM, Swarup I. Diagnosis and management of osteomyelitis in children: a critical analysis review. JBJS Rev. 2020;8(6):e1900202. Available from: https://doi.org/10.2106/jbjs.rvw.19.00202
Torres-Álvarez P, Quintela-Varela ME. Utilización de la oxigenoterapia hiperbárica en la curación de heridas. Revisión bibliográfica. Enferm Dermatol. 2019;13(38):40–47. Available from: https://dialnet.unirioja.es/servlet/articulo?codigo=7184191